struka(e): zoologija
ilustracija
PAPUČICA, Paramecium caudatum - 1. stezljivi mjehurić u izgradnji; 2. hranidbeni mjehurići; 3. ispunjeni stezljivi mjehurić; 4. mikronukleus; 5. makronukleus; 6. usno područje; 7. stanična usta (citostom); 8. trepetljike
ilustracija
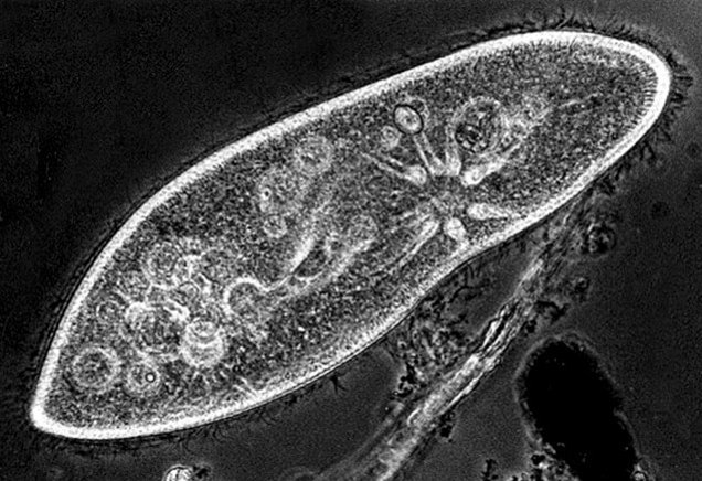
PAPUČICA, Paramecium caudatum - mikrosnimka

papučica (prema papuča < tur. papuç ili pabuç < perz. pāpūš) (Paramecium caudatum), praživotinja (Protozoa) iz razreda trepetljikaša (Ciliata), duga 150 do 300 μm. Na cijeloj površini jednostaničnoga tijela nalaze se guste, jednako duge trepetljike s pomoću kojih se kreće. Za razliku od srodnika koji imaju 3 do 5 mikronukleusa, ima samo jedan mikronukleus. Hrani se bakterijama. Uglavnom živi slobodno u kopnenim vodama i moru. Lako se održava u kulturi pa se često koristi za laboratorijske pokuse.

Citiranje:

papučica. Hrvatska enciklopedija, mrežno izdanje. Leksikografski zavod Miroslav Krleža, 2013. – 2025. Pristupljeno 28.12.2025. <https://enciklopedija.hr/clanak/papucica-zoologija>.